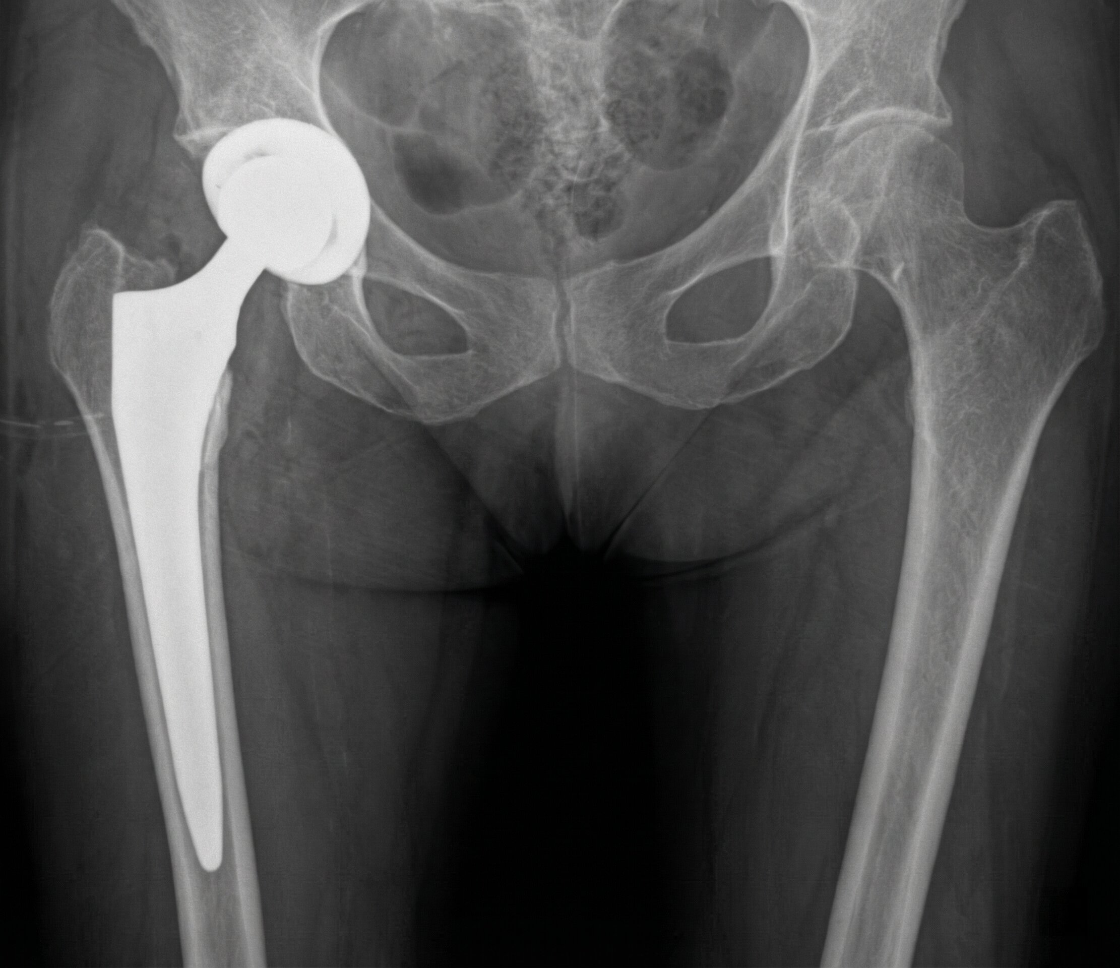
Coxartrosi: Protesi di Anca
È una degenerazione della cartilagine dell’anca che provoca dolore e limitazione dei movimenti.
I sintomi principali sono dolore all’inguine, difficoltà nel cammino e rigidità articolare.
Il trattamento iniziale è conservativo (farmaci o infiltrazioni), ma nei casi avanzati si ricorre alla protesi d’anca.
L’intervento è indicato quando il dolore compromette la qualità di vita.
Il recupero prevede mobilizzazione precoce e progressivo ritorno alla vita normale nell’arco di uno-due mesi.
Il beneficio è il ritorno a una vita attiva e senza dolore.
Quando devo preoccuparmi?
• Dolore continuo
• Difficoltà a camminare
• Riduzione autonomia
Tempi reali di recupero
• Cammino: pochi giorni
• Vita normale: 4–6 settimane
• Completo: 2-3 mesi
Quando operare e quando NO
• NO: dolore controllabile con farmaci o infiltrazioni
• SÌ: limitazione importante


Approccio Personalizzato
Il Dott. Fiore valuterà il caso specifico per proporre il percorso terapeutico più idoneo, utilizzando le più moderne tecnologie e protocolli riabilitativi.
Prenota una VisitaPer maggiori informazioni o per prenotare una visita specialistica, contatta uno degli studi.